
CHAMPS RESOURCES
CHAMPS Resources
A neonate who died of sepsis, complicated by measles infection
A 19-day old male who was born early (at 35 weeks’ gestation) died after being hospitalized for just over one day with fever and breathlessness.
The reasons for his prematurity are not known. There is limited documentation of prenatal care, but his mother had oligohydramnios, or lack of amniotic fluid around the baby. Her membranes ruptured (her “water broke”) five weeks-early. The baby was born via vaginal delivery, and foul-smelling fluid was noted at the time of birth, a sign of possible infection. At delivery, he did not cry right away and required resuscitation and hospital admission

He was readmitted to the hospital just over 24 hours before his death, with breathlessness and fever for two days. He weighed just 1420g upon readmission. Clinical records show that he was lethargic, cyanotic or blue in color, had irregular breathing, a low heart rate, fever, and a distended abdomen despite severe wasting. Doctors started antibiotics and provided respiratory support. He did not improve, developed seizures, ultimately stopped breathing and did not respond to cardiopulmonary resuscitation. At the hospital his death was attributed to late-onset neonatal sepsis.
Determining the Cause
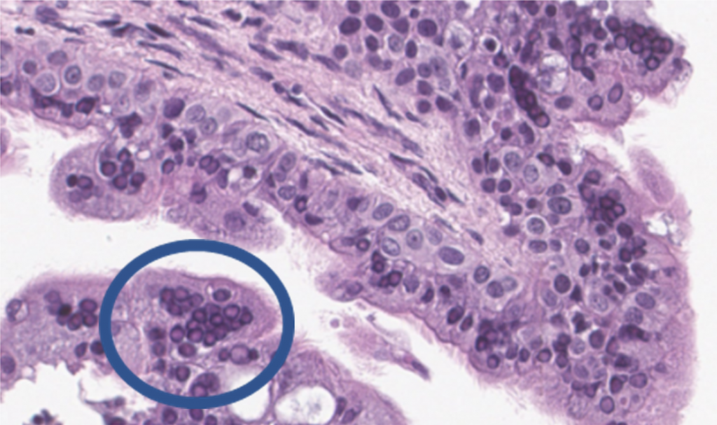
CHAMPS post-mortem blood and cerebrospinal fluid cultures were both positive for Proteus spp., a bacteria that causes infection.
Additional CHAMPS post-mortem testing unexpectedly found measles from 4 different sites throughout the baby’s tissues, blood, and cerebrospinal fluid. Pathologist examination of tissues confirmed that the baby had inflammation and viral pneumonia in the lungs with signs of measles, including syncytial giant cells and intranuclear inclusions. Pathologists tested for other viruses that cause these signs (like Respiratory Syncytial Virus, or RSV) and these tests were negative.
The CHAMPS team determined that this baby died from measles complicated by bacterial sepsis due to Proteus spp.

Public Health Implications
MMR vaccine and national coverage: Measles is a highly contagious disease particularly for babies or young children that are immunosuppressed. The World Health Organization (WHO) recommends children receive two doses of MMR (measles-mumps-rubella) vaccine, starting with the first dose at 9-12 months of age, and a subsequent (second) dose at least 4 weeks after the first injection. While neonates are too young to receive the vaccine, if there is high national coverage then herd immunity can provide some protection to the unvaccinated. However, coverage rates can unknowingly fall and individuals who already have a weakened immune system are among those most at risk for infection.
Clinical management & quality of care: WHO reports children who die within the first 28 days of birth suffer from conditions and diseases associated with lack of quality care at birth or skilled care and treatment immediately after birth and in the first days of life. CHAMPS DeCoDe panelists advise routine healthcare practices such as proper management of low birth weight during hospitalization and follow-up after discharge are critical to ensure the child is gaining weight and have no other underlying conditions.
Health-seeking behavior: It’s vitally important that mothers are educated at health facilities for signs and symptoms of illness in newborns and when to seek care. Particularly for premature babies and in this case, a fever or other danger signs are considered an emergency and should be referred to a hospital for immediate evaluation.
Implementing CHAMPS Data to Action: Sites work within their catchments on a range of health promotion areas and initiatives are informed by CHAMPS data findings and DeCoDe expert panel recommendations. The Socio-Behavioral Science Teams facilitate community education sessions for mothers to better identify signs and symptoms of illness in newborns and when to seek care. Some CHAMPS sites are in early planning stages to facilitate obstetric care refresher trainings for healthcare workers on best clinical case management practices such as proper monitoring of low birth weight, observation of other conditions that may arise, follow-up after discharge and particularly for cases when death could be preventable.
Interested in CHAMPS’s pathology slide images?
Email data@champshealth.org to learn more!